おすすめ
「ホームホワイトニング」上下で22,000円(薬剤2本セット)
おすすめ
ホームホワイトニング
上下で22,000円(薬剤2本セット)

遠藤歯科クリニックのホワイトニング
目次
ホワイトニングってなに?
ホワイトニングとは、薬剤の漂白効果を使って歯を白くする施術で、大きく分けて3種類のホワイトニング方法があります。歯の状態によってどの方法を選択するかが変わってきますので一度気軽にご相談ください。
ホワイトニングの種類
- ホームホワイトニング
- 歯の型取りを行ってトレーと呼ばれるマウスピースを作成し、トレー内部にご自身で薬剤を注入します。就寝時などにこのマウスピースを装着することにより、歯を白くする施術です。
お家でホワイトニングするので「ホーム」ホワイトニングと呼ばれています。遠藤歯科クリニックで最も多く行われるホワイトニング方法です。
- オフィスホワイトニング
- 歯科医院で行うホワイトニングです。歯に薬剤を塗布し、特殊な光を当てて歯を白くしていきます。ホームホワイトニングに比べて白くなるのが早いですが、費用が高く、歯がしみるなどの副作用も多く、強い痛みも出やすいことから当院では現在行っておりません。
- ウォーキングブリーチ
- この方法は神経が死んでしまった歯に対して行うホワイトニング方法です。歯をぶつけてしまったり、むし歯によって神経が死んでしまったりした歯は色がくすんできてしまいます。そういった歯に対して行うのがこのウォーキングブリーチです。歯の裏側に穴を開けて、歯の内部に薬剤を詰めます。2週間ほどで薬剤を交換して、これを何度か繰り返します。1本だけ歯の色が気になるという人におすすめです。
ホームホワイトニングについて
ここからはホワイトニングの中でも、遠藤歯科クリニックで最も多く行われているホームホワイトニングについて解説します。

ホームホワイトニングをすると後戻りという現象が起こることが多いです。白くなったと思っても、ホワイトニングをやめると少しだけ色が戻る現象です。せっかく高額なお金を払ってホワイトニングしたのですから、後戻りはない方が良いのですが、どうしても後戻りはしてしまいます。
遠藤歯科クリニックでは、後戻りを防ぐために「タッチアップ」という方法をオススメしています。ホワイトニングは、始めた最初のうちは毎日行うのですが、ある程度自分の納得する白さまで達したら、毎日ではなく、「3日ごと」、「1週間ごと」、「2週間ごと」のように段々と間隔をあけていき、最終的には3か月に1回だけ、という感じで時々ホワイトニングを行います。この時々行うホワイトニングを「タッチアップ」と呼んでいます。当院では3か月に1回程度のタッチアップをオススメしています。以前ホワイトニングの勉強会に参加した際には「芸能人は1か月に1回くらいタッチアップしている人も多い」というお話しも伺いました。
3か月に1回のタッチアップであれば、薬剤は1本で1年半程度持ちますので、経済的にもあまり負担にはならないと思います。


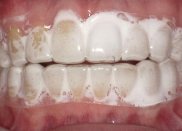
また、遠藤歯科クリニックではホワイトニング効果を高めるため「パッキング」という施術
を行っています。ホワイトニングに使用するトレーにホワイトニング薬剤とは別の薬剤を満たし、写真のように歯をパック
します。これによりホワイトニング薬剤が浸透しやすくなりホワイトニング効果が高まると言われています。
※注意!これはパッキングの写真です。ホワイトニングの薬剤をこのくらいつけると多すぎです。
ホワイトニングの予約はこちらからどうぞ
メニューから“歯を白くしたい”を選んでください。

ホームホワイトニングの流れ
では、これまでの話を踏まえて、
実際のホームホワイトニングの流れと、やり方を見ていきましょう。
型取り
0円
トレー・薬剤お渡し
22,000円
2回目の来院から1週間後に
チェック・クリーニング・パッキング
クリーニング、パッキングをすることでホワイトニング効果を高めるとともに、むし歯になりにくい強い歯にすることができます。必ずトレーを持ってきてください。
0円
3回目の来院から1週間後
タッチアップへ移行
ホワイトニングは最初の2週間は基本的には毎日行いますが、その後も時々行うようにしましょう。時々行うホワイトニングのことを『タッチアップ』といいます。
タッチアップの間隔は徐々に広げていき最終的には3か月に1回位のタッチアップ間隔がいいでしょう。
ちなみに歯の白い芸能人はだいたい1か月に1回タッチアップしています。
0円
(薬剤を追加購入する場合は1本2,750円)
タッチアップの回数と頻度
2週間/毎日
3日空ける
タッチアップ
1週間空ける
タッチアップ
2週間空ける
タッチアップ
1ヶ月空ける
タッチアップ
2ヶ月空ける
タッチアップ
以降3か月ごとにタッチアップ

お家でのホワイトニング方法
01.ホワイトニング前の清掃

- 効果的なホワイトニングのために、歯面の清掃を行います。
02.ホワイトニングジェルの注入

- 1歯あたり、米粒2つ分を目安に、写真のようにジェルを注入します。
- ジェルの目盛りは1日1目盛りを最大とします。
03.トレーの装着

- トレー装着時、ジェルが溢れた場合すぐにティッシュで拭き取って下さい。(しっかりと歯の表面全体にいきわたっていることを確認)
- 最初の3日間は2時間使用して下さい。しみる場合はそのまま2時間、しみない場合は就寝時のご使用も可能です。
04.トレーの洗浄

- 使用後のトレーは歯ブラシを用いて洗浄します。歯磨き粉の使用もOKです。(強くこする、熱湯を使うなどはしない。)
05.トレー、ジェルの保管

- トレーは水分を拭き取りトレーケースに入れて保管します。ジェルは冷蔵庫で保管します。(有効期限あり)
注意事項
- 効果には個人差があります。
- 歯や歯茎に痛みが出たら、すぐに使用を中止してください。
- 詰め物の色は白くなりません。歯の色と詰め物の色が合わなくなることがあります。
- 最初は歯の色がムラになることがありますが、継続すると均一になります。
- ホワイトニングトレー装着中の飲食・喫煙は行わないでください。
- ホワイトニング期間中は、歯の色は白くなりやすいですが、着色しやすくなります。
着色の原因となるコーヒー、赤ワイン、カレー、紅茶、タバコや、コーラなどの炭酸飲料は控えてください。レモンなどもしみやすくなるため控えてください。 - ホワイトニングの効果は永久に持続するものではなく、後戻りがあります。
定期的なメンテナンスとタッチアップを行うことをおすすめしています。
ホワイトニング期間中の食事について

ホワイトニング期間になるべく避けて欲しい食べ物
(マウストレー装着中も避けてください)
- カレー
- パスタ(トマトソースなど)
- 醤油やソースを使った料理
- トマト・カボチャなどの色の濃い野菜
- チョコレート・ぶどう・いちごなどの色の濃い果物
- コーヒー・紅茶・日本茶・コーラ・ジュース・赤ワインなど

おすすめする食べ物
- 白米・食パン
- 白身魚・しらす
- ホワイトソースのパスタ
- 大根・じゃがいも・里芋など(塩で調理したもの)
- ヨーグルト・ホワイトチーズ・牛乳・水など
また、ホワイトニング期間中のタバコもホワイトニング効果が低くなってしまうため控えましょう。

ホームホワイトニングの費用
| 項目 | 料金 | 内容 |
| ホームホワイトニング | 22,000円 | 上下トレー、薬剤2本、トレーケースのセット |
| 追加薬剤 | 2,750円 | 1本(薬剤1本で約1週間分です) |
| ウォーキングブリーチ | 3,300円 | 1歯につき (薬交換1回無料) |
遠藤歯科クリニックでは、
現金払いの他に各種クレジットカード・スマホ決済
のご利用が可能です。
VISA、JCB、AMEX、Diners、MASTERCARD
の各種カード、
PayPay、メルペイ、楽天ペイ、d払い、au PAY
がご利用いただけます。






ホワイトニングの予約はこちらからどうぞ
メニューから“歯を白くしたい”を選んでください。